Fortis Life Sciences

Epithelial-mesenchymal Transition

Body surfaces, cavities, and the lining of hollow organs are comprised of epithelial cells. These cells are characterized by apical-basal polarity and tight cell-cell junctions, and are tightly packed together with little extracellular matrix.1 Due to these cells’ function as coverings and linings, they have one free surface not in contact with other cells, and are attached to underlying connective tissue via noncellular basement membrane.

In contrast to epithelial cells, mesenchymal stem cells are multipotent stromal cells capable of differentiating into various cell types such as adipocytes, astrocytes, osteoblasts, chondrocytes, and myocytes.2,3 Mesenchymal cells appear elongated and spindle-shaped, and have loose cell-cell interaction in the absence of tight intracellular adhesion. As such, mesenchymal cells possess enhanced migratory capability as compared to epithelial cells.4

The ability of epithelial cells to downregulate their epithelial characteristics and acquire a mesenchymal phenotype was initially described in the 1980s.5 This phenomenon was originally terms "epithelial to mesenchymal transformation" but has since become known as "epithelial-mesenchymal transition" (EMT) in order to reflect the reversable nature of the process as well as to distinguish it from neoplastic transformation.6 The reverse process, involving the conversion of mesenchymal cells to epithelial derivatives, is called mesenchymal-epithelial transition (MET).7

EMT is a biological process whereby the characteristically polarized epithelial cell, which would normally interact with basement membrane via its basal surface, undergoes multiple changes that result in adoption of a mesenchymal phenotype. These changes include a loss of characteristic apical-basal polarity and tight junctions, reorganization of the cytoskeleton, and a shift in cell shape. The result is enhanced migratory capacity, development of a more invasive phenotype, increased resistance to apoptosis, and vastly increased production of extracellular matrix components.7,8 The EMT is observed in both physiological and pathological processes, including embryogenesis and development, inflammation, wound healing, fibrosis, and tumor progression.9

A number of distinct processes are required to initiate and complete an EMT. These include transcription factor activation, expression of specific cell-surface proteins, a shift in the expression and organization of proteins comprising the cytoskeleton, production of enzymes which degrade the extracellular matrix, and changes in microRNA expression.10 It is these factors that can be used as biomarkers to indicate a cell undergoing EMT. For example, epithelial cells are typically indicated by markers such as E-cadherin, cytokeratin, zona occludens-1, and desmoplakin, among others. As the cell undergoes EMT, the expression of these markers wane, and that of mesenchymal markers such as fibroblast-specific protein-1, Smad interacting protein 1, fibronectin, and forkhead box C2, among others, increase.10 The end of the EMT is signaled by degradation of the underlying basement membrane and the formation of a mesenchymal cell that can migrate away from the epithelial layer in which it originated.

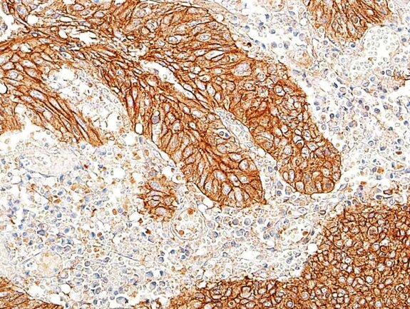
Immunohistochemistry image showing strong brown membrane staining in tumor cells, highlighting epithelial cancer tissue.

Detection of human E-Cadherin in FFPE lung carcinoma by IHC. Antibody: Rabbit anti-E-Cadherin recombinant monoclonal [BLR088G] (A700-088). Secondary: HRP-conjugated goat anti-rabbit IgG (A120-501P). Substrate: DAB.

Immunohistochemistry image showing glandular epithelial cells with strong brown membrane staining highlighting cell borders.

Detection of mouse beta Catenin in FFPE plasmacytoma by IHC. Antibody: Rabbit anti-beta Catenin recombinant monoclonal [BLR086G] (A700-086). Secondary: HRP-conjugated goat anti-rabbit IgG (A120-501P). Substrate: DAB.

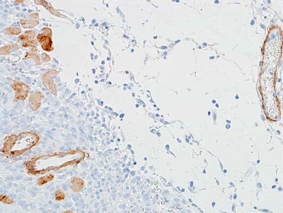
Immunohistochemistry image showing brown-stained positive cells and structures among mostly unstained or lightly stained tissue.

Detection of mouse alpha Smooth Muscle Actin in FFPE colon carcinoma CT26 by IHC. Antibody: Rabbit anti-alpha Smooth Muscle Actin recombinant monoclonal [BLR082G] (A700-082). Secondary: HRP-conjugated goat anti-rabbit IgG (A120-501P). Substrate: DAB.

References

  1. Pasti G, Labouesse M. 2014. Epithelial junctions, cytoskeleton, and polarity. WormBook. Nov;1:1-35.
  2. Ankrum JA, Ong JF, Karp JM. 2014. Mesenchymal stem cells: immune evasive, not immune privileged. Nat Biotechnol. Mar;32(3):252-60.
  3. Mahla RS. 2016. Stem cells applications in regenerative medicine and disease therapeutics. Int J Cell Biol. 2016;2016:6940283.
  4. Pittenger MF, Martin BJ. 2004. Mesenchymal stem cells and their potential as cardiac therapeutics. Circ Res. Jul;95(1):9-20.
  5. Greenburg G, Hay ED. 1982. Epithelia suspended in collagen gels can lose polarity and express characteristics of migrating mesenchymal cells. J Cell Biol. Oct;95(1):333-9.
  6. Kalluri R, Neilson EG. 2003. Epithelial-mesenchymal transition and its implications for fibrosis. J Clin Invest. Dec;112(12):1776-84.
  7. Thiery JP, Acloque H, Huang RY, Nieto MA. 2009. Epithelial-mesenchymal transitions in development and disease. Cell. Nov;139(5):871-90.
  8. Thiery JP, Sleeman JP. 2006. Complex networks orchestrate epithelial-mesenchymal transitions. Nature Rev. Mol. Cell Biol. 2006; 7:131–142.
  9. Chen T, You Y, Jiang H, Wang ZZ. 2017. Epithelial-mesenchymal transition (EMT): A biological process in the development, stem cell differentiation, and tumorigenesis. J Cell Physiol. Dec;232(12):3261-72.
  10. Kalluri R, Weinberg RA. 2009. The basics of epithelial-mesenchymal transition. J Clin Invest. Jun;119(6):1420-8.